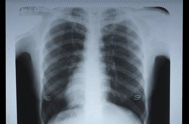
BeritaMalam – Seorang pria berusia 47 tahun yang tidak disebutkan namanya dirujuk ke klinik pernapasan.
Pria asal Preston, Lancashire, Inggris, ini mengeluhkan batuk lendir kuning dan merasa tidak enak badan selama lebih dari satu tahun.
Saat itu, petugas medis mengira ia menderita kanker paru-paru.
Karena ia baru saja menderita pneumonia dan pernah menjadi perokok jangka panjang.
Namun setelah bronkoskopi, tindakan medis yang bertujuan untuk melihat trakea dan bronkus, para petugas medis menyadari bahwa ‘sesuatu’ di paru-parunya itu bukanlah tumor.
Benda itu adalah kerucut plastik miniatur dari permainan Playmobil. Ukurannya sekitar 1 cm.
Untungnya dokter berhasil mengambil benda itu dengan forceps biopsi.
Kerucut plastik itu berasal dari Playmobil
Setelah melihat kerucut plastik itu, pasien mengingat bahwa ia secara teratur main permainan itu sejak ulang tahun ketujuhnya atau pada tahun 1977.Bahkan pernah secara tidak sengaja menelan potongannya.
“Pasien mengingatnya dan yakin bahwa ia tidak sengaja menelannya setelah bermain,” ucap dokter yang merawatnya dilansir dari theguardian.com.
Meskipun ini adalah kejadian umum bagi anak-anak yang secara tidak sengaja menelan benda-benda kecil, namun pada dasarnya efeknya memang baru terjadi lama.

Setelah melihat kerucut plastik itu, pasien mengingat bahwa ia secara teratur main permainan itu sejak ulang tahun ketujuhnya atau pada tahun 1977.Bahkan pernah secara tidak sengaja menelan potongannya.
“Pasien mengingatnya dan yakin bahwa ia tidak sengaja menelannya setelah bermain,” ucap dokter yang merawatnya dilansir dari theguardian.com.
Meskipun ini adalah kejadian umum bagi anak-anak yang secara tidak sengaja menelan benda-benda kecil, namun pada dasarnya efeknya memang baru terjadi lama.
Figure-figure dalam permainan Playmobil
Biasanya hal ini terjadi karena benda tersebut mungkin telah diserap ke dalam lapisan paru-paru, yang berkembang di sekiarnya.
Tapi ini adalah kasus pertama di mana ada benda asing yang diabaikan selama 40 tahun.
“Waktu pasien masih muda, jalan napasnya menyesuaikan diri dengan kehadiran benda asing ini. Namun setelah terjadi beberapa perombakan, terjadi gangguan di jalan napas,” terang dokter.
Sekarang, setelah empat bulan pengangkatan kerucut kecil itu, batuk pasien hampir sembuh dan gejala lainnya membaik.
Biasanya hal ini terjadi karena benda tersebut mungkin telah diserap ke dalam lapisan paru-paru, yang berkembang di sekiarnya.
Tapi ini adalah kasus pertama di mana ada benda asing yang diabaikan selama 40 tahun.
“Waktu pasien masih muda, jalan napasnya menyesuaikan diri dengan kehadiran benda asing ini. Namun setelah terjadi beberapa perombakan, terjadi gangguan di jalan napas,” terang dokter.
Sekarang, setelah empat bulan pengangkatan kerucut kecil itu, batuk pasien hampir sembuh dan gejala lainnya membaik.









0 comments:
Post a Comment